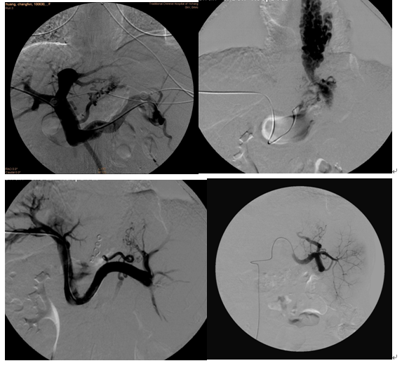
肝硬化门静脉高压引起的难于控制的消化道大出血是患者死亡的重要原因,通过经皮微创穿刺门静脉栓塞食管胃底静脉联合脾栓塞可明显降低门静脉压力,降低出血风险。而脾脏是人体的重要免疫器官,各种原因引起的脾功能亢进传统治疗常需手术切除,手术切除不仅创伤大,而且由于免疫功能低下而易致暴发性感染等严重并发症。部分性脾栓塞介入治疗脾功能亢进不仅创伤小,费用低,更重要能够保留人体器官及正常免疫功能!
        典型病例:女、46岁,肝硬化门静脉高压反复出血,在我院DSA引导下行经皮穿刺食管胃底静脉曲张栓塞术+部分性癖栓塞术后至今未再发生出血。