中国占全世界肝癌病例的55%。我们国家的肝癌患者大部分有肝炎和肝硬化的病史,一经发现大部分已到晚期,失去手术机会,而传统放疗及化疗对于人体损伤大,效果差,西医介入治疗对肝脏损伤大,尤其对于年龄大、肝功能差、肝硬化患者疗效差,治疗困难。我院采用中药制剂采用介入栓塞方法对于年龄大,肝功能差及肝硬化患者大部分有很好的疗效,对于年龄大,合并糖尿病等不适于血管介入治疗的患者采用CT引导下行射频消融治疗,术后结合中药治疗,效果满意!
        典型病例介绍:
      (一)、患者、男、56岁,肝硬化多次消化道出血,合并多发肝肿瘤,综合医院建议放弃其他治疗,行中医治疗。在我院介入科采用中药制剂与进口碘化油栓塞后结合中医治疗,3年后复查肿瘤基本稳定。
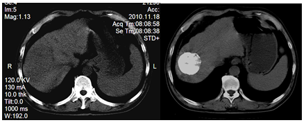
     (二)、患者、男、68岁,2013年11月发现肝癌术后5年复发,因患者肾功能不全,不适宜外科手术及血管内介入治疗,在我院行CT引导下射频消融治疗,术后结合中药治疗目前病情稳定。